
Le indicazioni e le controindicazioni alla RM cardiaca. Quando le informazioni fornite dalla TC sono fondamentali e quando superflue.
Categoria: Relazioni storiche Parole chiave: cardiomiopatia controindicazione diagnosi indicazione rm
VISUALIZZA
IL CONTENUTO
IL CONTENUTO
Autore: Alessandra Scatteia

Anno: 2020
Ambito: Congresso
Sede: FAD
Potrebbero interessarti anche...
-
-
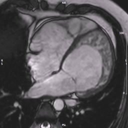
Cardiomiopatia ipertroficaAutore: Arturo Raisaro
Categoria: Videoalbum
Parole chiave: cardiomiopatia ipertrofica diagnosi rm -
Versamento pericardico lieveAutore: Arturo Raisaro
Categoria: Videoalbum
Parole chiave: diagnosi rm versamento pericardico in miocardite -
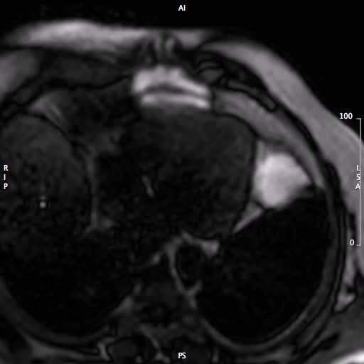
Trombosi endoventricolareAutore: Santo Dellegrottaglie
Categoria: Videoalbum
Parole chiave: diagnosi rm trombo -
Non compattazione del VSAutore: Santo Dellegrottaglie
Categoria: Videoalbum
Parole chiave: cardiomiopatia diagnosi rm -
Ruolo della BEM nella diagnosi di miocarditeAutore: Fabrizio Oliva
