Descrizione:
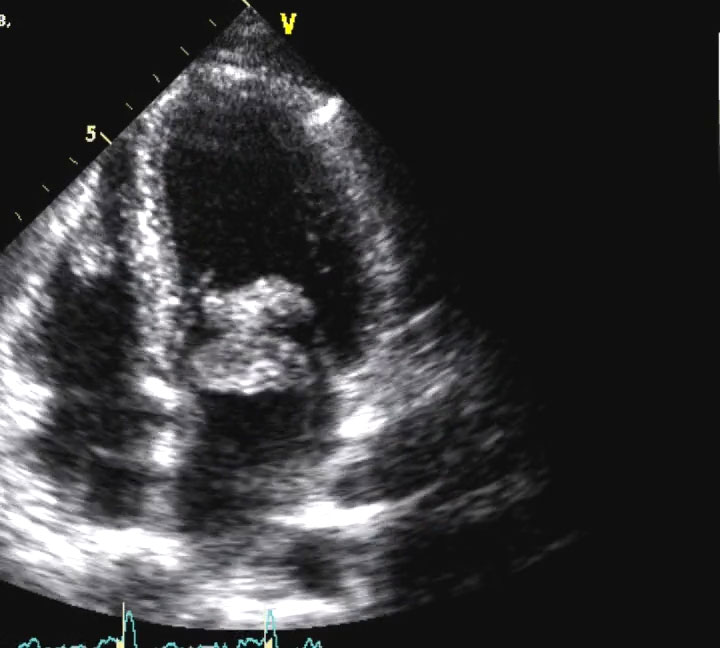
4 camere apicale COLOR. Evidente disfunzione sistolica con texture a "vetro smerigliato. Insufficienza mitralica e tricuspidale.
Cenni anamnestici:
Controllo ambulatoriale
4 camere apicale COLOR. Evidente disfunzione sistolica con texture a "vetro smerigliato. Insufficienza mitralica e tricuspidale.
Controllo ambulatoriale
Autore: Mauro Pepi
Autore: Laura Massironi
Autore: Daniela Torta
Autore: Giovanni Corrado
Autore: Giovanni Corrado