Descrizione:
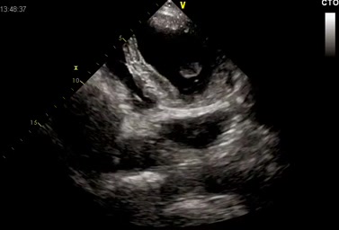
Asse lungo apicale. Appare evidente il malposizionamento (troppo in basso) della TAVI.
Cenni anamnestici:
Vedi caso clinico
Asse lungo apicale. Appare evidente il malposizionamento (troppo in basso) della TAVI.
Vedi caso clinico
Autore: Chiara Bencini

Autore: Mauro Pepi
Autore: Daniela Torta
Autore: Laura Massironi
Autore: Santo Dellegrottaglie
Autore: Laura Massironi