Autore:
Lucia Barbieri, Gabriele Tuminello
Visualizzazione di 15 risultati
Titolo:
CT assessment of the left atrial appendage post-transcatheter occlusion
Autore:
Marco Guglielmo
Titolo:
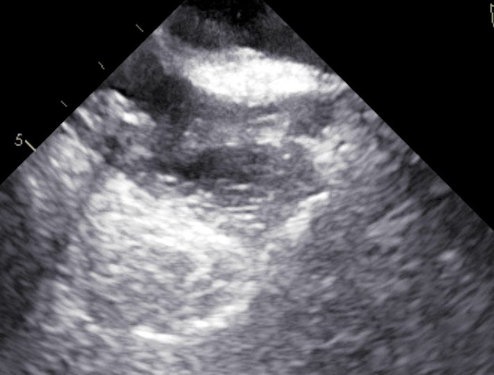
Trombo in auricola sinistra
Autore:
Daniela Torta
Titolo:
Catetere stimolatore con trombi adesi
Autore:
Laura Massironi
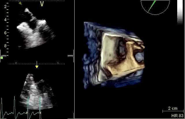
Titolo:
Auricola normale
Autore:
Daniela Torta
Titolo:
Auricola plurilobala
Autore:
Daniela Torta
Titolo:
Trombo in auricola
Autore:
Chiara Bencini
Titolo:
Trombo fluttuante in auricola sinistra
Autore:
Luigi Ferrara
Titolo:
Auricola sinistra
Autore:
Chiara Debenedetti
Titolo:
Aorta acendente
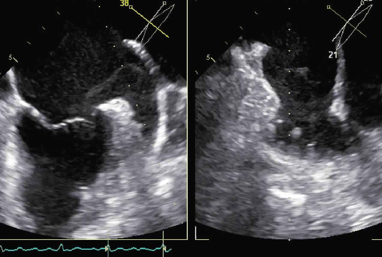
Autore:
Laura Massironi
Titolo:
Trombo in auricola
Autore:
Daniela Torta
Titolo:
Auricola sinistra e vena polmonare superiore sinistra
Autore:
Daniela Torta
Titolo:
Auricola sinistra
Autore:
Alice Pugno
Titolo:
Auricola sinistra
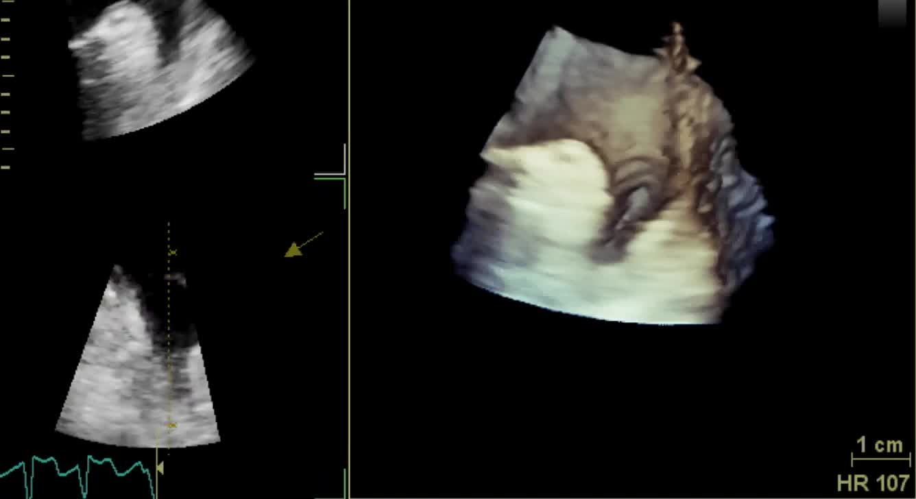
Autore:
Alice Pugno
Titolo:
Chiusura auricola
Autore:
Anna Maltagliati


