Titolo:
Shock cardiogeno nella Capillary Leak Syndrome
Autore:
Alessandro Caretta
Visualizzazione di 17-32 di 35 risultati
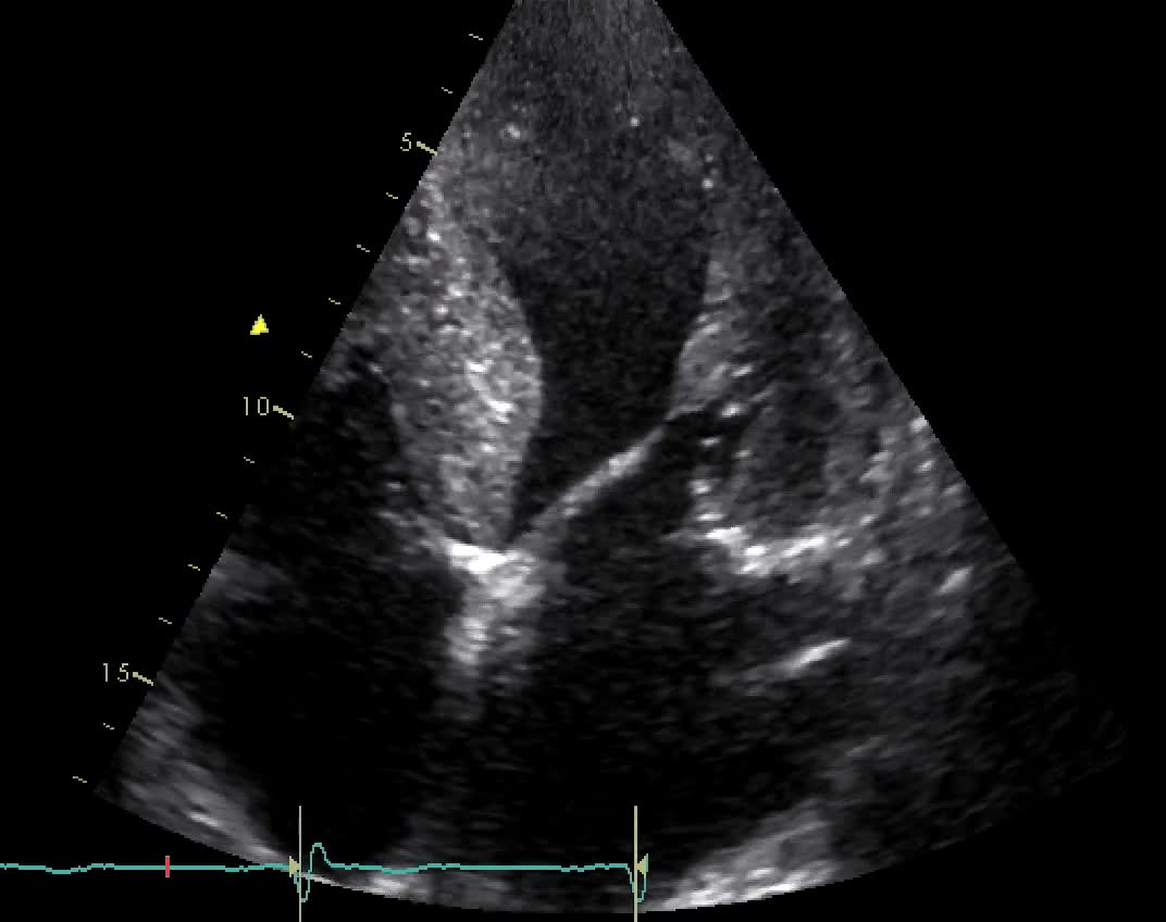
Titolo:
Shock cardiogeno nella Capillary Leak Syndrome
Autore:
Alessandro Caretta
Titolo:
La diagnosi di Tako-Tsubo o Apical Balloning. La cardiomiopatia da stress
Autore:
Laura Massironi
Titolo:
La diagnosi di Tako-Tsubo o Apical Balloning. La cardiomiopatia da stress
Autore:
Laura Massironi
Titolo:
Malattia di Anderson-Fabry
Autore:
Daniela Torta
Titolo:
Miocardio non-compattato del ventricolo destro
Autore:
Andrea Barbieri
Titolo:
Cardiomiopatia restrittiva
Autore:
Andrea Barbieri
Titolo:
Cardiomiopatia ipocinetico dilatativa
Autore:
Andrea Barbieri
Titolo:
Non compattazione del VS
Autore:
Dario Sansalone
Titolo:
Ipertrofia concentrica del ventricolo sinsitro
Autore:
Alessia Zaniboni
Titolo:
Glicogenosi cardiomiopatia restrittiva
Autore:
Antonio Mantero
Titolo:
Cardiomiopatia ipertrofica
Autore:
Arturo Raisaro
Titolo:
Insufficienza mitralica severa in cardiomiopatia
Autore:
Santo Dellegrottaglie
Titolo:
Cardiomiopatia aritmogena
Autore:
Santo Dellegrottaglie
Titolo:
Cardiomiopatia aritmogena
Autore:
Oscar Gaddi
Titolo:
Cardiomiopatia aritmogena
Autore:
Oscar Gaddi
Titolo:
Non compattazione del VS
Autore:
Santo Dellegrottaglie