Titolo:
Aorta acendente
Autore:
Laura Massironi
Visualizzazione di 65-80 di 89 risultati
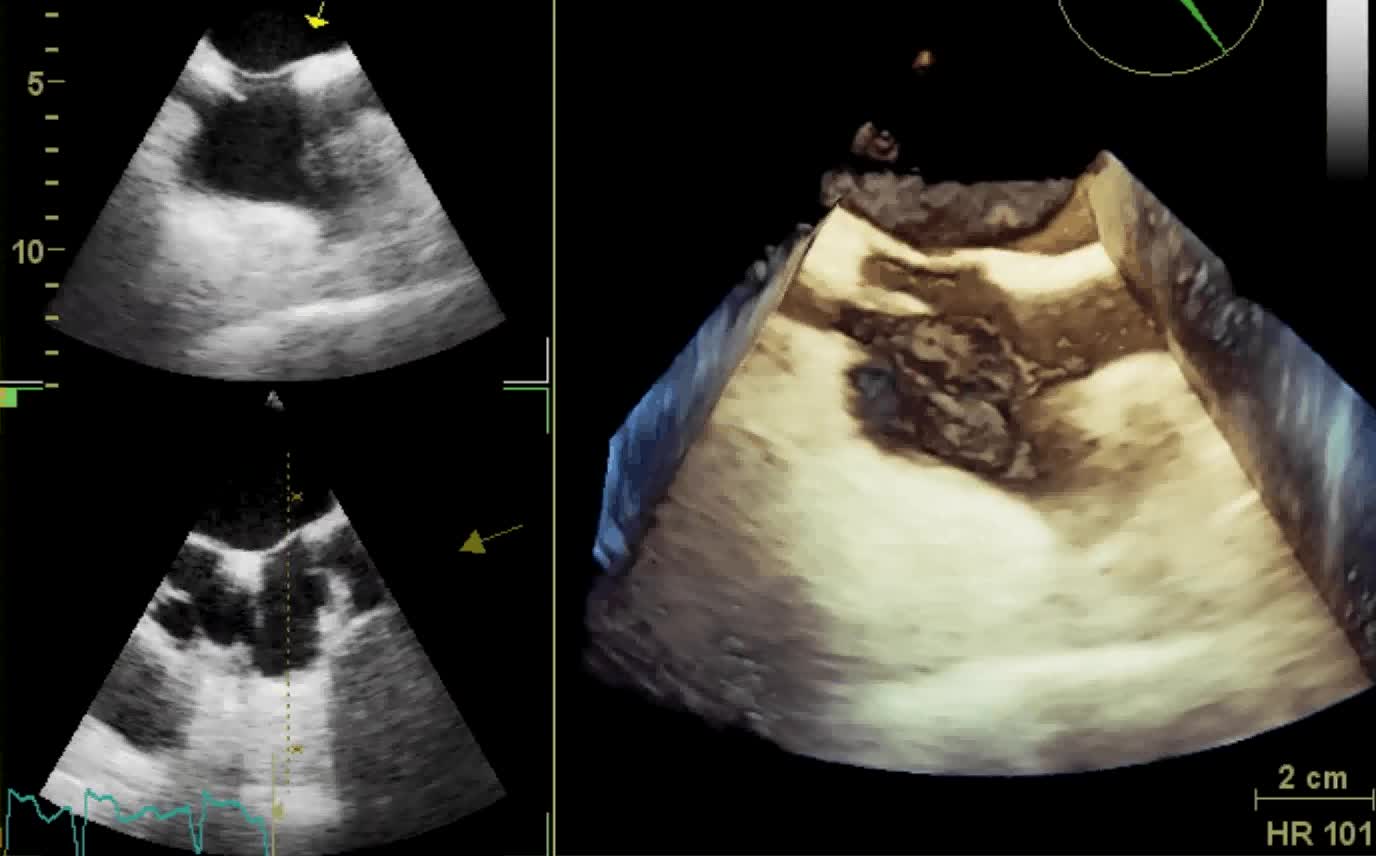
Titolo:
Aorta acendente
Autore:
Laura Massironi
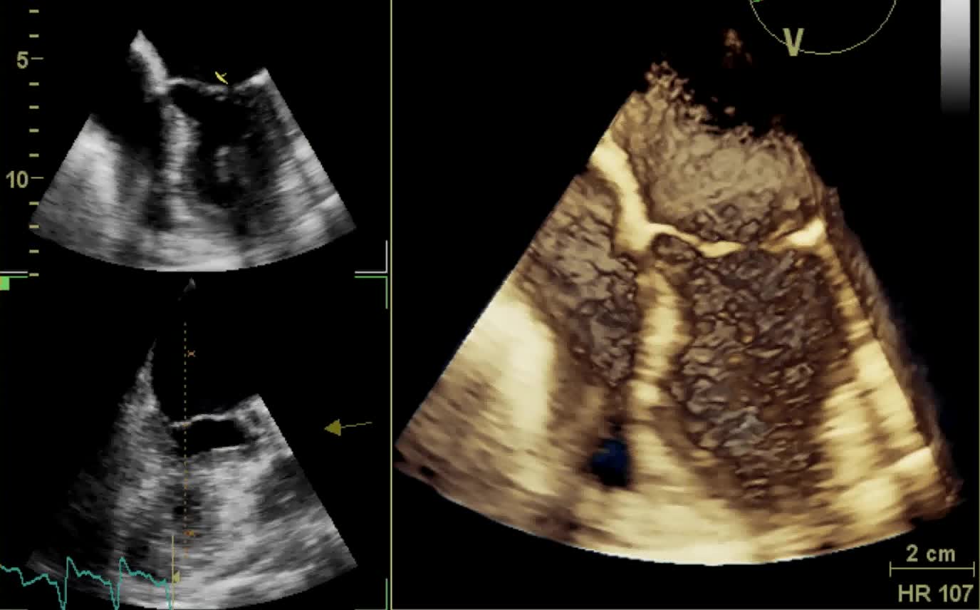
Titolo:
Valvola aortica
Autore:
Daniela Torta
Titolo:
Auricola sinistra e vena polmonare superiore sinistra
Autore:
Daniela Torta
Titolo:
Valvola mitralica
Autore:
Daniela Torta
Titolo:
Valvola aortica
Autore:
Antonio Mantero
Titolo:
Valvola aortica
Autore:
Antonio Mantero
Titolo:
Valvola aortica e polmonare
Autore:
Antonio Mantero
Titolo:
Auricola sinistra
Autore:
Alice Pugno
Titolo:
Atrio destro
Autore:
Alice Pugno
Titolo:
Ventricolo ed atrio di sinistra; ventricolo ed atrio di destra
Autore:
Alice Pugno
Titolo:
Auricola sinistra
Autore:
Alice Pugno
Titolo:
Valvola aortica e mitralica
Autore:
Manuela Muratori
Titolo:
Anatomia del cuore con l’imaging non invasivo
Autore:
Francesco Faletra
Titolo:
Il ruolo clinico dell’ecocardiografia in 4D
Autore:
Francesco Faletra
Titolo:
La chiusura percutanea dell’auricola sinistra
Autore:
Gaetano Fassini
Titolo:
Anatomia del cuore con la Risonanza Magnetica
Autore:
Giancarlo Casolo