Titolo:
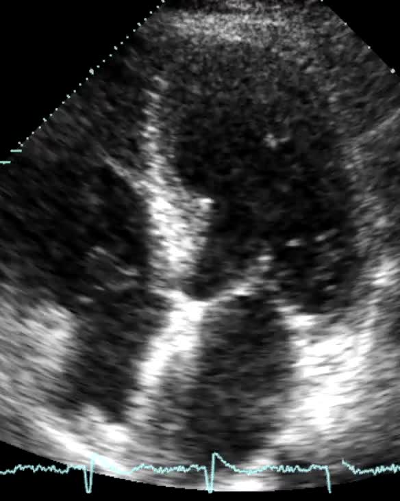
Stenosi mitralica
Autore:
Chiara Bencini
Visualizzazione di 17-32 di 91 risultati
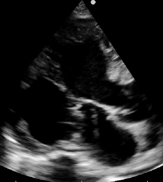
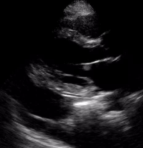
Titolo:
Stenosi mitralica
Autore:
Chiara Bencini
Titolo:
Insufficienza aortica in aorta bicuspide
Autore:
Chiara Bencini
Titolo:
Trombosi della vena cava inferiore in embolia polmonare
Autore:
Chiara Bencini
Titolo:
Ostruzione dinamica dell’efflusso VSx
Autore:
Laura Massironi
Titolo:
Amiloidosi cardiaca in corso di amiloidosi sistemica
Autore:
Laura Massironi
Titolo:
Complicanze IMA
Autore:
Laura Massironi
Titolo:
Complicanze IMA
Autore:
Laura Massironi
Titolo:
Cardiomiopatia ipertrofica ostruttiva
Autore:
Laura Massironi
Titolo:
Trombosi su catetere stimolatore in Adx e Vdx
Autore:
Laura Massironi
Titolo:
La diagnosi di Tako-Tsubo o Apical Balloning. La cardiomiopatia da stress
Autore:
Laura Massironi
Titolo:
La diagnosi di Tako-Tsubo o Apical Balloning. La cardiomiopatia da stress
Autore:
Laura Massironi
Titolo:
Endocardite su valvola tricuspide in corso di sepsi
Autore:
Laura Massironi
Titolo:
Complicanze IMA
Autore:
Laura Massironi
Titolo:
Ostruzione dinamica dell’efflusso vsx
Autore:
Laura Massironi
Titolo:
Endocadite su valvola aortica e mitralica in corso di sepsi
Autore:
Laura Massironi
Titolo:
Versamento pleurico e pericardico in corso di pleuropericardite acuta
Autore:
Laura Massironi