Titolo:
Endocardite infettiva complicata da fistola tra seno coronarico destro e ventricolo destro
Autore:
Andrea Barbieri
Visualizzazione di 49-64 di 91 risultati
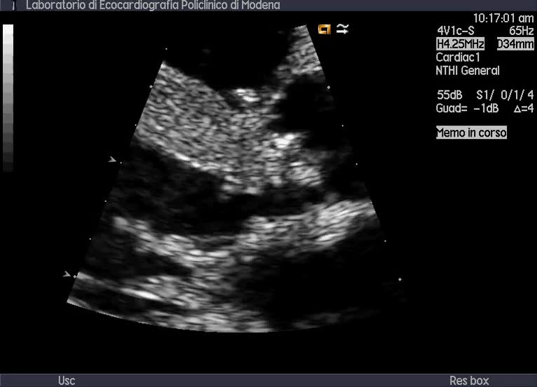
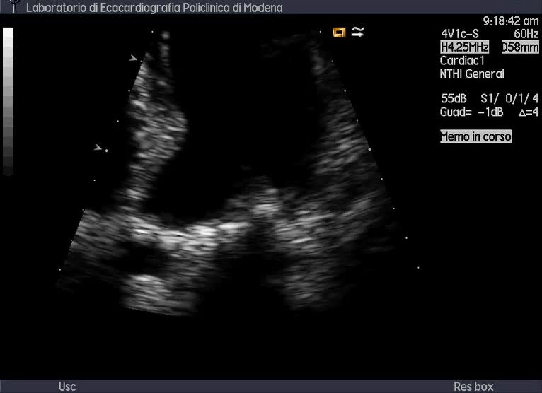
Titolo:
Endocardite infettiva complicata da fistola tra seno coronarico destro e ventricolo destro
Autore:
Andrea Barbieri
Autore:
Andrea Barbieri
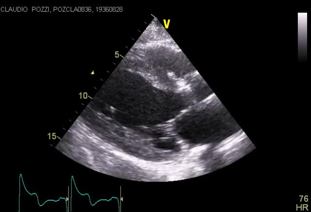
Titolo:
Endocardite su derivazione ventricolo-atriale destra
Autore:
Andrea Barbieri
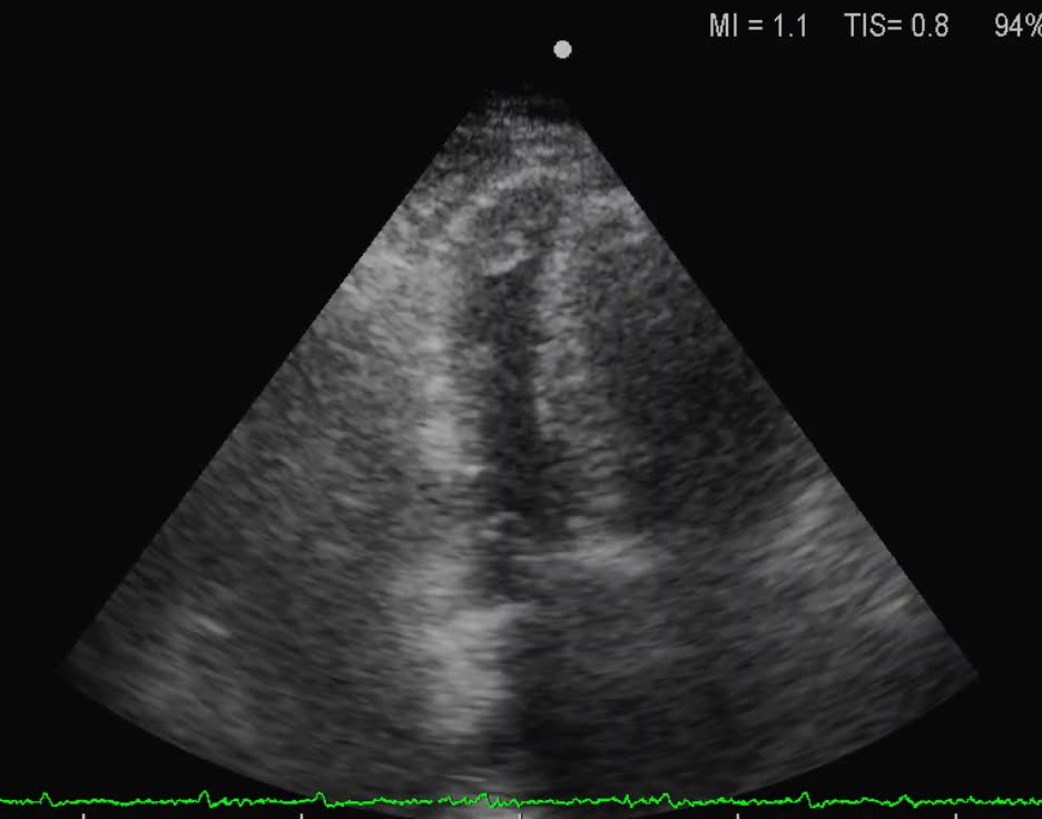
Titolo:
Trombosi apice VD
Autore:
Dario Sansalone
Titolo:
Falso tendine disancorato
Autore:
Dario Sansalone
Titolo:
Vegetazione su anello mitralico in esiti di plastica
Autore:
Andrea Barbieri
Titolo:
Vegetazioni sul setto interventricolare membranoso e ascesso
Autore:
Andrea Barbieri
Titolo:
Ascesso della porzione mitroaortica e conseguente div perimembranoso
Autore:
Andrea Barbieri
Titolo:
Dissecazione
Autore:
Andrea Barbieri
Titolo:
Destrocardia
Autore:
Andrea Barbieri
Titolo:
Vegetazioni su catetere
Autore:
Andrea Barbieri
Titolo:
Cuore univentricolare
Autore:
Andrea Barbieri
Titolo:
Cor triatriatum dx
Autore:
Andrea Barbieri
Titolo:
Agenesia
Autore:
Andrea Barbieri
Titolo:
Cleft del lembo anteriore mitralico
Autore:
Andrea Barbieri
Titolo:
Cardiomiopatia restrittiva
Autore:
Andrea Barbieri