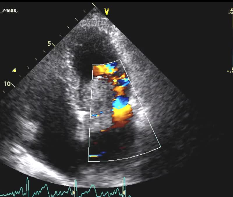
Titolo:
Insufficienza tricuspidale severa
Autore:
Daniela Torta
Visualizzazione di 17-25 di 25 risultati
Titolo:
Insufficienza tricuspidale severa
Autore:
Daniela Torta
Titolo:
Non compattazione del VS
Autore:
Dario Sansalone
Titolo:
Prolasso mitralico con IM severa
Autore:
Eleonora Zenoni
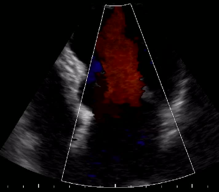
Titolo:
Insufficienza tricuspidale severa
Autore:
Antonio Mantero
Titolo:
Ascesso perianulare e distacco di protesi aortica meccanica
Autore:
Chiara Bencini
Titolo:
Amiloidosi cardiaca
Autore:
Oscar Gaddi
Titolo:
Botallo pervio
Autore:
Andrea Barbieri
Titolo:
Mixoma
Autore:
Anna Maltagliati
Titolo:
Non compattazione del ventricolo sinistro
Autore:
Giovanni Corrado