Titolo:
Vegetazioni aortiche
Autore:
Laura Massironi
Visualizzazione di 33-48 di 83 risultati
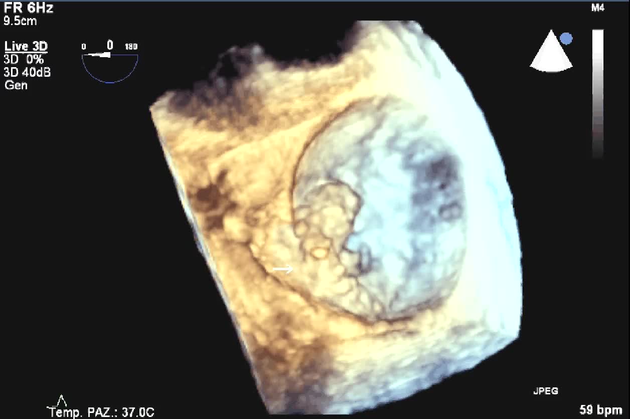
Titolo:
Vegetazioni aortiche
Autore:
Laura Massironi
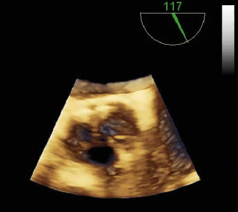
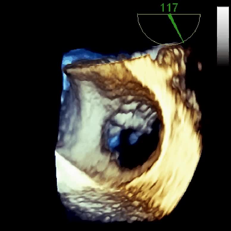
Titolo:
Stenosi aortica moderata
Autore:
Laura Massironi
Titolo:
Insufficienza mitralica da rottura cordale
Autore:
Daniela Torta
Titolo:
Insufficienza mitralica da rottura cordale
Autore:
Daniela Torta
Titolo:
Insufficienza mitralica da rottura cordale
Autore:
Daniela Torta
Titolo:
Prolasso valvolare mitralico
Autore:
Daniela Torta
Titolo:
Prolasso valvolare mitralico
Autore:
Daniela Torta
Titolo:
Protesi mitralica biologica normofunzionante
Autore:
Laura toffetti
Titolo:
Distacco di protesi meccanica mitralica da endocardite infettiva con severo rigurgito paraprotesico
Autore:
Manfredo Cerchiello
Titolo:
Distacco di protesi meccanica mitralica da endocardite infettiva
Autore:
Manfredo Cerchiello
Titolo:
Aorta acendente
Autore:
Laura Massironi
Titolo:
Chiusura percutanea di paraleak (protesi valvolare mitralica biologica)
Autore:
Andrea Barbieri
Titolo:
Auricola sinistra chiusura
Autore:
Andrea Barbieri
Titolo:
Insufficienza aortica severa da rottura di semilunare non coronarica
Autore:
Alice Pugno
Titolo:
Mixoma
Autore:
Claudia Scardino
Titolo:
Stenosi aortica moderata
Autore:
Daniela Torta