Titolo:
Endocardite della valvola aortica
Autore:
Daniela Torta
Visualizzazione di 49-64 di 83 risultati
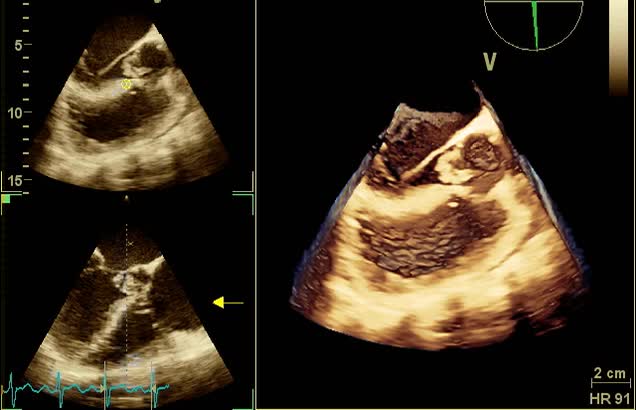
Titolo:
Endocardite della valvola aortica
Autore:
Daniela Torta
Titolo:
Protesi mitralica normofunzionante
Autore:
Daniela Torta
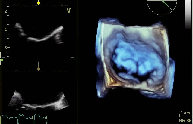
Titolo:
Insufficienza mitralica da rottura cordale
Autore:
Daniela Torta
Titolo:
Dua ostium secundum
Autore:
Daniela Torta
Titolo:
Mixoma
Autore:
Laura Massironi
Titolo:
Prolasso mitralico con rottura cordale
Autore:
Alice Pugno
Titolo:
Distacco di protesi mitralica biologica
Autore:
Manuela Muratori
Titolo:
Vegetazioni su protesi mitralica biologica
Autore:
Manuela Muratori
Titolo:
Distacco di protesi aortica
Autore:
Manuela Muratori
Titolo:
Valvola aortica e mitralica
Autore:
Manuela Muratori
Titolo:
Chiusura auricola
Autore:
Anna Maltagliati
Titolo:
Mixoma
Autore:
Anna Maltagliati
Titolo:
Impianto di Mitraclip: Monitoraggio ecocardiografico
Autore:
Mauro Pepi
Titolo:
Bicuspida aortica senza stenosi valvolare
Autore:
Mauro Pepi
Titolo:
Protesi biologica mitralica Carpentier 25
Autore:
Daniela Torta
Titolo:
La diagnosi con Eco2DColorDoppler dell’insufficienza mitralica degenerativa
Autore:
Gloria Tamborini